ZEB1 antibody

References #1
Research Area:
Synonyms:Zinc finger E-box-binding homeobox 1|NIL-2-A zinc finger protein|Negative regulator of IL2|Transcription factor 8 (TCF-8)|ZEB1|AREB6|TCF8 antibody
Catalogue No.:FNab09620Reactivity:Human, Mouse, Rat
Host:RabbitTested Application:ELISA, WB, IP,IHC
Clonality:polyclonalIsotype:IgG
Size Price
100µg Inquiry
Dispatch Time: About 3 working days
  • SPECIFICATIONS
  • CITATIONS
  • FIGURES
  • CONDITIONS
  • FAQS
Product Name
ZEB1 antibody
Catalogue No.
FNab09620
Size
100μg
Form
liquid
Purification
Immunogen affinity purified
Purity
≥95% as determined by SDS-PAGE
Clonality
polyclonal
Isotype
IgG
Storage
PBS with 0.02% sodium azide and 50% glycerol pH 7.3, -20℃ for 12 months(Avoid repeated freeze / thaw cycles.)
Immunogen
Immunogen
zinc finger E-box binding homeobox 1
Alternative Names
Zinc finger E-box-binding homeobox 1|NIL-2-A zinc finger protein|Negative regulator of IL2|Transcription factor 8 (TCF-8)|ZEB1|AREB6|TCF8 antibody
UniProt ID
P37275
Observed MW
210 kDa
Application
Tested Applications
ELISA, WB, IP,IHC
Recommended dilution
WB: 1:500-1:5000; IP: 1:200-1:2000;IHC: 1:500-1:5000
Validated Images
MCF7 cells were subjected to SDS PAGE followed by western blot with FNab09620(ZEB1 antibody) at dilution of 1:500
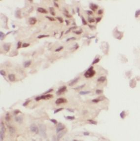
Immunohistochemistry of paraffin-embedded human breast cancer tissue slide using FNab09620(ZEB1 Antibody) at dilution of 1:1000
Background
Acts as a transcriptional repressor. Inhibits interleukin-2(IL-2) gene expression. Enhances or represses the promoter activity of the ATP1A1 gene depending on the quantity of cDNA and on the cell type. Represses E-cadherin promoter and induces an epithelial-mesenchymal transition(EMT) by recruiting SMARCA4/BRG1. Represses BCL6 transcription in the presence of the corepressor CTBP1. Positively regulates neuronal differentiation. Represses RCOR1 transcription activation during neurogenesis. Represses transcription by binding to the E box(5'-CANNTG-3'). Promotes tumorigenicity by repressing stemness-inhibiting microRNAs. The calculated molecular weight of ZEB1 is 124 kDa, but the post phosphorylation of protein is about 190-210 kDa. This is a rabbit polyclonal antibody raised against part of the full length of ZEB1 of human.
IF: 5.6
Journal:
Biochemical Pharmacology
Author:
Department of Nephropathy, The First Affiliated Hospital of Anhui Medical University, PR China.
Cited Date:
2025-10-17
Product:
How many times can antibodies be recycled?

First, usually it's not suggested to recycle antibodies. After use, buffer system of antibodies has changed. The storage condition of recycled antibodies for different customers also varies. Thus, the performance efficiency of recycled antibodies can’t be guaranteed. Besides, FineTest ever conducted the antibody recycling assay. Assay results show recycling times of different antibodies also varies. Usually, higher antibody titer allows more repeated use. Customers can determine based on experimental requirements.

Notes: After incubation, we recycle rest antibodies to centrifuge tube and store at 4℃. High titer antibodies can be stored for a minimum of one week. Reuse about three times.

What are components of FineTest antibody buffer?

Components of FineTest antibody buffer are usually PBS with proclin300 or sodium azide, BSA, 50% glycerol. Common preservative is proclin300 or sodium azide, which is widely applied in the lab and industry.

How about the storage temperature and duration of FineTest antibodies?

Most antibodies are stored at -20℃. Directly-labeled flow cytometry antibodies should be stored at 2 - 8℃. The shelf life is one year. If after sales issues for purchased antibodies appear, return or replacement is available. Usually, antibodies can be still used after the one-year warranty. We can offer technical support services.

Is dilution required for FineTest antibodies? What’s the dilute solution?

Directly-labeled flow cytometry antibodies are ready-to-use without dilution. Other antibodies are usually concentrated. Follow the dilution ratio suggested in the manual. Dilute solution for different experiments also varies. Common antibody dilution buffers are acceptable(e.g. PBST, TBST, antibody blocking buffer).

How to retrieve antibodies for immunohistochemistry?

Common retrieval buffers: Tris-EDTA Buffer(pH 9.0); Citrate Buffer(pH 6.0)

Heat induced antibody retrieval:

Method 1: Water-bath heating: Put the beaker with retrieval buffer and slide in the boiling water bath. Keep the boiling state for 15min. Naturally cool to room temperature;

Method 2: Microwave retrieval: Put the beaker with retrieval buffer and slide in the microwave oven. Heat at high power for 5min, Switch OFF for 3min, Heat at medium power for 5min. Naturally cool to room temperature.

How to choose secondary antibodies?

(1) Secondary antibodies react with primary antibodies. Thus, secondary antibodies should be against host species of primary antibodies. E.g. If the primary antibody is derived from rabbit, the relevant secondary antibody should be against rabbit. E.g. goat anti rabbit or donkey anti rabbit.

(2) Choose secondary antibody conjugates according to the experimental type, e.g. ELISA, WB, IHC etc. Common enzyme conjugated secondary antibodies are labelled by HRP, AP etc. Fluorescin or dye labelled secondary antibodies are applied in immunofluorescence and flow cytometry(e.g. FITC, Cy3).

Product Comparison