Products
DHX9 antibody
| Synonyms: | ATP-dependent RNA helicase A|DEAH box protein 9|DExH-box helicase 9|Leukophysin (LKP)|Nuclear DNA helicase II (NDH II)|RNA helicase A|DHX9|DDX9|LKP|NDH2 antibody | ||
| Catalogue No.: | FNab02383 | Reactivity: | Human, Mouse, Rat |
| Host: | Rabbit | Tested Application: | ELISA, WB, IHC, IF |
| Clonality: | polyclonal | Isotype: | IgG |
| Size | Price |
|---|---|
| 100µg | Inquiry |
- SPECIFICATIONS
- FIGURES
- CONDITIONS
- FAQS
- Product Name
- DHX9 antibody
- Catalogue No.
- FNab02383
- Size
- 100μg
- Form
- liquid
- Purification
- Immunogen affinity purified
- Purity
- ≥95% as determined by SDS-PAGE
- Clonality
- polyclonal
- Isotype
- IgG
- Storage
- PBS with 0.02% sodium azide and 50% glycerol pH 7.3, -20℃ for 12 months(Avoid repeated freeze / thaw cycles.)
- Immunogen
- DEAH(Asp-Glu-Ala-His) box polypeptide 9
- Alternative Names
- ATP-dependent RNA helicase A|DEAH box protein 9|DExH-box helicase 9|Leukophysin (LKP)|Nuclear DNA helicase II (NDH II)|RNA helicase A|DHX9|DDX9|LKP|NDH2 antibody
- UniProt ID
- Q08211
- Observed MW
- 140 kDa
- Tested Applications
- ELISA, WB, IHC, IF
- Recommended dilution
- WB: 1:1000-1:4000; IHC: 1:20-1:200; IF: 1:20-1:200
Jurkat cells were subjected to SDS PAGE followed by western blot with FNab02383(DHX9 antibody) at dilution of 1:1000
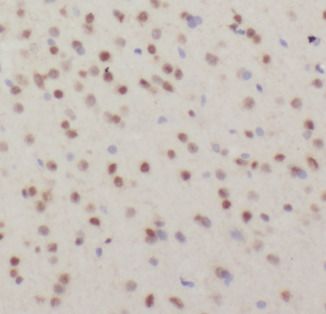
Immunohistochemistry of paraffin-embedded human brain using FNab02383(DHX9 antibody) at dilution of 1:100
Immunofluorescent analysis of Hela cells, using DHX9 antibody FNab02383 at 1:100 dilution and Rhodamine-labeled goat anti-rabbit IgG (red).
- Background
- Unwinds double-stranded DNA and RNA in a 3' to 5' direction. Alteration of secondary structure may subsequently influence interactions with proteins or other nucleic acids. Functions as a transcriptional activator. Component of the CRD-mediated complex that promotes MYC mRNA stability. Involved with LARP6 in the stabilization of type I collagen mRNAs for CO1A1 and CO1A2. As component of a large PER complex is involved in the inhibition of 3' transcriptional termination of circadian target genes such as PER1 and NR1D1 and the control of the circadian rhythms. Positively regulates HIV-1 LTR-directed gene expression.
How many times can antibodies be recycled?
First, usually it's not suggested to recycle antibodies. After use, buffer system of antibodies has changed. The storage condition of recycled antibodies for different customers also varies. Thus, the performance efficiency of recycled antibodies can’t be guaranteed. Besides, FineTest ever conducted the antibody recycling assay. Assay results show recycling times of different antibodies also varies. Usually, higher antibody titer allows more repeated use. Customers can determine based on experimental requirements.
Notes: After incubation, we recycle rest antibodies to centrifuge tube and store at 4℃. High titer antibodies can be stored for a minimum of one week. Reuse about three times.
What are components of FineTest antibody buffer?
Components of FineTest antibody buffer are usually PBS with proclin300 or sodium azide, BSA, 50% glycerol. Common preservative is proclin300 or sodium azide, which is widely applied in the lab and industry.
How about the storage temperature and duration of FineTest antibodies?
Most antibodies are stored at -20℃. Directly-labeled flow cytometry antibodies should be stored at 2 - 8℃. The shelf life is one year. If after sales issues for purchased antibodies appear, return or replacement is available. Usually, antibodies can be still used after the one-year warranty. We can offer technical support services.
Is dilution required for FineTest antibodies? What’s the dilute solution?
Directly-labeled flow cytometry antibodies are ready-to-use without dilution. Other antibodies are usually concentrated. Follow the dilution ratio suggested in the manual. Dilute solution for different experiments also varies. Common antibody dilution buffers are acceptable(e.g. PBST, TBST, antibody blocking buffer).
How to retrieve antibodies for immunohistochemistry?
Common retrieval buffers: Tris-EDTA Buffer(pH 9.0); Citrate Buffer(pH 6.0)
Heat induced antibody retrieval:
Method 1: Water-bath heating: Put the beaker with retrieval buffer and slide in the boiling water bath. Keep the boiling state for 15min. Naturally cool to room temperature;
Method 2: Microwave retrieval: Put the beaker with retrieval buffer and slide in the microwave oven. Heat at high power for 5min, Switch OFF for 3min, Heat at medium power for 5min. Naturally cool to room temperature.
How to choose secondary antibodies?
(1) Secondary antibodies react with primary antibodies. Thus, secondary antibodies should be against host species of primary antibodies. E.g. If the primary antibody is derived from rabbit, the relevant secondary antibody should be against rabbit. E.g. goat anti rabbit or donkey anti rabbit.
(2) Choose secondary antibody conjugates according to the experimental type, e.g. ELISA, WB, IHC etc. Common enzyme conjugated secondary antibodies are labelled by HRP, AP etc. Fluorescin or dye labelled secondary antibodies are applied in immunofluorescence and flow cytometry(e.g. FITC, Cy3).