AKNA antibody

References #2
Research Area:
Synonyms:Microtubule organization protein AKNA|AT-hook-containing transcription factor|AKNA|KIAA1968 antibody
Catalogue No.:FNab00259Reactivity:Human
Host:RabbitTested Application:ELISA, IHC, WB
Clonality:polyclonalIsotype:IgG
Size Price
100µg Inquiry
Dispatch Time: About 3 working days
  • SPECIFICATIONS
  • CITATIONS
  • FIGURES
  • CONDITIONS
  • FAQS
Product Name
AKNA antibody
Catalogue No.
FNab00259
Size
100μg
Form
liquid
Purification
Immunogen affinity purified
Purity
≥95% as determined by SDS-PAGE
Clonality
polyclonal
Isotype
IgG
Storage
PBS with 0.02% sodium azide and 50% glycerol pH 7.3, -20℃ for 12 months(Avoid repeated freeze / thaw cycles.)
Immunogen
Immunogen
AT-hook transcription factor
Alternative Names
Microtubule organization protein AKNA|AT-hook-containing transcription factor|AKNA|KIAA1968 antibody
UniProt ID
Q7Z591
Observed MW
65-70 kDa
Application
Tested Applications
ELISA, IHC, WB
Recommended dilution
WB: 1:200-1:2000; IHC: 1:20-200
Validated Images
Raji cells were subjected to SDS PAGE followed by western blot with FNab00259(AKNA Antibody) at dilution of 1:600
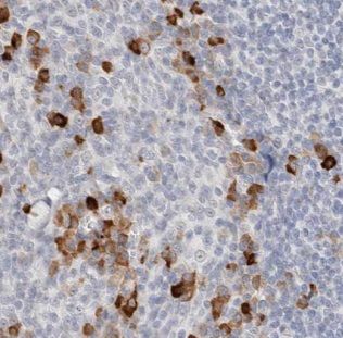
Immunohistochemistry of paraffin-embedded human tonsillitis tissue slide using FNab00259(AKNA Antibody) at dilution of 1:50
Background
AKNA also named as AT hook transcription factor is a 1439 amino-acids protein. AKNA, encodes a lymphoid-specific AT-hook transcription factor that is highly expressed by B and T lymphocytes. It coordinately regulates expression of the CD40 receptor and its ligand (CD154), two molecules that are critical for antigen-dependent B-cell development. AKNA expresses at least nine distinct transcripts, some of which are expressed in a tissue-specific manner. These transcripts are products of alternative splicing, alternative promoter usage, and alternative polyadenylation. The alternative AKNA transcripts are predicted to encode overlapping protein isoforms, some of which (p70 and p100) (PMID:15869410)
IF: 2.8
Journal:
Current Issues in Molecular Biology
Author:
Department of Medical Biology, Faculty of Medicine, Universitas Indonesia, Jakarta 10430, Indonesia
Sample:
ovarian tissue
Cited Date:
2025-02-07
Product:
IF: 0.7
Journal:
Nigerian Journal of Clinical Practice
Author:
Department of Anatomic Pathology, Faculty of Medicine Universitas Indonesia-Dr. Cipto Mangunkusumo National Hospital, Jakarta, Indonesia.
Cited Date:
2024-10-08
Product:
How many times can antibodies be recycled?

First, usually it's not suggested to recycle antibodies. After use, buffer system of antibodies has changed. The storage condition of recycled antibodies for different customers also varies. Thus, the performance efficiency of recycled antibodies can’t be guaranteed. Besides, FineTest ever conducted the antibody recycling assay. Assay results show recycling times of different antibodies also varies. Usually, higher antibody titer allows more repeated use. Customers can determine based on experimental requirements.

Notes: After incubation, we recycle rest antibodies to centrifuge tube and store at 4℃. High titer antibodies can be stored for a minimum of one week. Reuse about three times.

What are components of FineTest antibody buffer?

Components of FineTest antibody buffer are usually PBS with proclin300 or sodium azide, BSA, 50% glycerol. Common preservative is proclin300 or sodium azide, which is widely applied in the lab and industry.

How about the storage temperature and duration of FineTest antibodies?

Most antibodies are stored at -20℃. Directly-labeled flow cytometry antibodies should be stored at 2 - 8℃. The shelf life is one year. If after sales issues for purchased antibodies appear, return or replacement is available. Usually, antibodies can be still used after the one-year warranty. We can offer technical support services.

Is dilution required for FineTest antibodies? What’s the dilute solution?

Directly-labeled flow cytometry antibodies are ready-to-use without dilution. Other antibodies are usually concentrated. Follow the dilution ratio suggested in the manual. Dilute solution for different experiments also varies. Common antibody dilution buffers are acceptable(e.g. PBST, TBST, antibody blocking buffer).

How to retrieve antibodies for immunohistochemistry?

Common retrieval buffers: Tris-EDTA Buffer(pH 9.0); Citrate Buffer(pH 6.0)

Heat induced antibody retrieval:

Method 1: Water-bath heating: Put the beaker with retrieval buffer and slide in the boiling water bath. Keep the boiling state for 15min. Naturally cool to room temperature;

Method 2: Microwave retrieval: Put the beaker with retrieval buffer and slide in the microwave oven. Heat at high power for 5min, Switch OFF for 3min, Heat at medium power for 5min. Naturally cool to room temperature.

How to choose secondary antibodies?

(1) Secondary antibodies react with primary antibodies. Thus, secondary antibodies should be against host species of primary antibodies. E.g. If the primary antibody is derived from rabbit, the relevant secondary antibody should be against rabbit. E.g. goat anti rabbit or donkey anti rabbit.

(2) Choose secondary antibody conjugates according to the experimental type, e.g. ELISA, WB, IHC etc. Common enzyme conjugated secondary antibodies are labelled by HRP, AP etc. Fluorescin or dye labelled secondary antibodies are applied in immunofluorescence and flow cytometry(e.g. FITC, Cy3).

Product Comparison